Affiliations
Contact Our Dental Practice
Our dentists are members of several professional dental organizations, and they are committed to ongoing training to stay updated in the latest advances in the field. They are proud to offer a range of crown options that can be customized to fit your needs, budget, and cosmetic goals.
For more information about our services, contact our team online or call us in Merritt Island, FL, at:
(321) 459-2444

"Best dentist I have ever been to"
        I had a really good experience getting a cap at Dr Moffit's office. I was surprised that I didn't need to have dental impressions made. 3 D images were taken and a machine used these images to create a crown. I was happy that it was done all in one visit and the cap looks exactly my old tooth. What a difference between this procedure compared to the other caps I had.
Dr Wilkhu is the best Dentist I have ever been to. From the office staff to the hygenists to the Dentist and his assistants they are all top notch. I went to Dr Wilkhu after having a bad experience with another dentist. Dr Wilkhu had done a great job for my mother and his reviews were great so I thought I would give him a try. I have been going to him for about three years now.
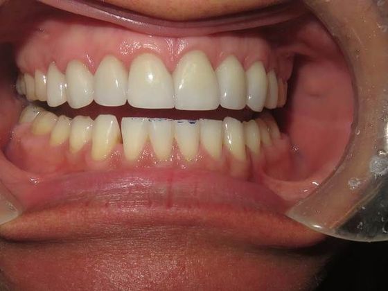
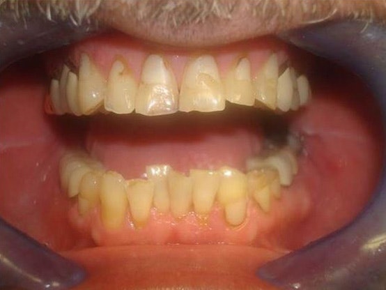
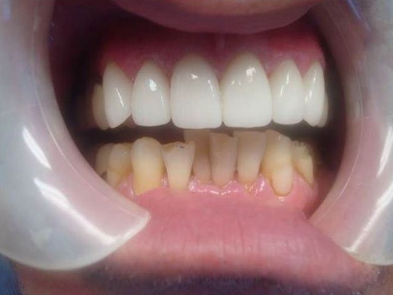
View On GoogleCEREC vs. Lab-Fabricated Crowns
CEREC Same-Day Crowns
 If your damaged tooth is located in a discreet area of the mouth or budget is a concern, our dentists can use CEREC to create stunning, highly durable same-day crowns. CEREC allows us to create dental crowns using computer-aided design and manufacturing. The machine is equipped with a milling unit that directly translates the digital design into a new custom crown out of a single block of porcelain. In most cases, your CEREC crown can be ready for placement on the same day as your initial appointment, avoiding the need for a temporary crown.
If your damaged tooth is located in a discreet area of the mouth or budget is a concern, our dentists can use CEREC to create stunning, highly durable same-day crowns. CEREC allows us to create dental crowns using computer-aided design and manufacturing. The machine is equipped with a milling unit that directly translates the digital design into a new custom crown out of a single block of porcelain. In most cases, your CEREC crown can be ready for placement on the same day as your initial appointment, avoiding the need for a temporary crown.
Lab-Crafted Restorations
 This option is ideal for crowns in visible areas of the mouth. Our decade-long relationship with a trusted local lab is one of the factors that our patients appreciate the most when undergoing restorative treatment. The lab technicians cater to each and every individual. They even visit our office for an in-person shade match to ensure your restorations closely mirror the texture and color of your surrounding teeth. Depending on your budget and other factors, we can create your crowns from a variety of materials including porcelain, IPS e.max, or zirconia.
This option is ideal for crowns in visible areas of the mouth. Our decade-long relationship with a trusted local lab is one of the factors that our patients appreciate the most when undergoing restorative treatment. The lab technicians cater to each and every individual. They even visit our office for an in-person shade match to ensure your restorations closely mirror the texture and color of your surrounding teeth. Depending on your budget and other factors, we can create your crowns from a variety of materials including porcelain, IPS e.max, or zirconia.
          
        Dental Crown Treatment Steps
          
Our dentists are proud to offer a range of crown options that can be customized to fit your needs, budget, and cosmetic goals.
          
        Crowns and Dental Implants
          
Why Replace Missing Teeth?
            
            
            Missing teeth result in additional dental problems such as shifting teeth, jaw misalignment, jawbone atrophy, and facial collapse. For most patients, our dentists can place and restore dental implants at our Merritt Island, FL, dentistry office–without referring you to an outside specialist for dental care.
Dental Implant Recovery
            
            
            If you have a missing tooth, you will undergo dental implant surgery approximately four to six months prior to receiving your permanent crown. Once the site is fully healed, you will return to our office to have your permanent crown or dental bridge attached to your implant.
          
        The Unique Benefits of
Implant-Supported Crowns      
          
If you're completely missing a tooth, your jawbone is not receiving the stimulation it needs, which can result in jawbone atrophy, teeth shifting out of alignment, and sunken facial features.
A dental implant acts as a tooth root in the jawbone, preventing these concerns. Our dentists can place dental implants and restore the appearance of your teeth above the gumline with implant-supported crowns, bridges, and dentures.
"Visit was pleasant and professional"
        My visit was pleasant and professional.  Appointment was on time.  Work completed painlessly , With out delay.   Everyone was friendly .   I felt everything was done right.
        Thanks to all of you, from Dr Wilkhu to all the staff. You always are very friendly and very helpful. You always work with me until I'm satisfied and I thank you for it. Looking forward to seeing all of you again soon.
Receive Comprehensive Care From Our Merritt Island, FL, Dentists
From capping a tooth after a root canal to completely replacing a missing tooth, crowns are a versatile option that can help patients achieve many goals. Whether you need a traditional or implant-supported crown, our dentists can coordinate your care and keep you informed throughout every step of your treatment.
If you're in Merritt Island or the surrounding area and think you could benefit from a crown, we invite you to fill out our contact form or call:
(321) 459-2444
See How We Accommodate Our Patients
New to the area and am very thankful to have found such an amazing Dental Practice! I was impressed with every aspect of this establishment. The staff is beyond attentive, and everyone makes sure that your visit is supported fully, before you even get started. Thank you all for the conversation and care. I am giving you all five stars, but you deserve TEN
View on GoogleI am a dental hygienist from Washington State. My husband and I were visiting the area and his 2 week old crown came off. UGH! Not having any dental connections I just started calling. When I reached Dr. Wilkhu’s office they were friendly and stated they would work him in for a recement... The crown has been great since the recement. I would highly recommend this office.
View on Google









