Same Day Crowns in Merritt Island, FL
A New Smile in 2–3 Hours
- Lab-Made and Same-Day Crowns
- Board-Certified Prosthodontist
- Nitrous Oxide for Calm Care
- Nearly 700 5-star Google Reviews
We Help Merritt Island Smile

Same-Day Crowns
With our in-office CEREC® machine, Dr. Chan Wilkhu and Dr. Steven Schmid can take fast digital impressions of your smile and create your custom crown in two to three hours. The CEREC system will mill your custom crown from a block of porcelain, IPS e.max®, or zirconia, and our dentists can place it immediately. There’s no need for a temporary crown or a second appointment.
Board-Certified Prosthodontist
Prosthodontics is the field of dentistry that creates restorations like crowns. Dr. Schmid is a board-certified prosthodontist, so you can trust that your crown will be as functional as it is beautiful. It will feel comfortable in your bite and can last 10–15 years with proper care.
Local Lab Partnership
If your crown is for a front tooth, we may recommend a lab crown over a same-day CEREC crown, as they can be more detailed and lifelike. We can bring in a technician from a trusted local lab to take a shade match of your teeth. Your lab crown will be ready in about three days, much faster than the average turnaround time of two to three weeks.
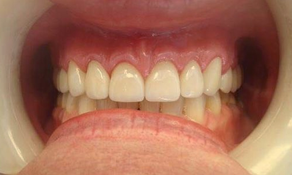
A Shocking Smile Upgrade That Looks Completely Natural
This Merritt Island patient came to us with teeth that had become worn over time. We restored the front six teeth with custom crowns. The result is a beautiful smile that looks seamless and harmonizes with the patient’s facial features.

Before

After
A Real Patient's Story
“Absolutely perfect!”
“This is hands-down, the best dental practice I've ever been to. The staff is friendly and accommodating, the doctors are extremely proficient and knowledgeable, and the office is beautiful, warm, and welcoming, replete with top-notch technology. I had a zirconium crown done, same-day, and it turned out absolutely perfect!”
— Jerry, 5-Star Review

Book Now for Advanced Care

- We are one of the few practices on Merritt Island that offers advanced technology for dental crown treatment. Our patients benefit from the use of digital impressions, digital X-rays, and our CEREC system.
- We want our patients to feel comfortable, so our dentists offer nitrous oxide as needed. This safe form of anesthesia relaxes patients during treatment and the effects fade quickly.
- We accept most insurance plans and can help file for reimbursement. We also accept credit cards and CareCredit® financing.
- Depending on your goals, budget, and desired aesthetics, we can create your crown from a variety of tooth-colored materials for beautiful results.
- We welcome emergency cases. We will try to fit you in as quickly as possible and finish your case on the same day. Book an appointment today!
What Can a Crown Address?
A dental crown allows your dentist to address several different issues that may impact your oral function and appearance. These issues may include:
Damaged Tooth
A cracked or chipped tooth can be restored using a CEREC crown.
Decayed Tooth
A decayed tooth may benefit from a crown if the decay is too big for a filling or if a tooth would require multiple fillings.
Bite Imbalance
An imbalanced bite can cause TMD and enamel wear. A crown can rebalance your bite and improve your comfort.
Post–Root Canal Protection
If root canal therapy is necessary to save your tooth, a crown can reinforce the tooth after treatment.
Cosmetic Concerns
Severe discoloration and disproportionately sized teeth can be concealed and made more uniform with a crown.
A Missing Tooth
If you have a single missing tooth, a dental implant can support a crown to completely replace it.
Traditional Crowns vs. Same Day Crowns
Many patients wonder if traditional crowns are superior to same-day CEREC crowns.

Durability
Same-day crowns are made of durable porcelain. With proper care, same-day crowns made using CEREC can last for 10 years or more, much like a traditional crown. For this reason, they are a great option to restore a damaged or decayed tooth on the back teeth.
Appearance
Although CEREC crowns work very well for the back of the mouth, we suggest that the front teeth use a traditional crown or even a dental veneer. The front teeth are more visible and a traditional crown can be shade-matched to blend with the color of your natural teeth. This will give your smile a more natural-looking appearance. With back teeth, a same-day crown will not be as visible and will blend in just fine, saving you the hassle of multiple trips and a temporary crown.
Dental Crown Treatment Steps
Day of Procedure
Our dentists are proud to offer a range of crown options that can be customized to fit your needs, budget, and cosmetic goals.


