Root Canal Therapy
An infected tooth can cause pain and put you at risk for oral health complications.
A root canal removes the infected pulp to alleviate your pain, eliminate the infection, and save the tooth.
Family Dentistry & Prosthodontics in Merritt Island, FL, uses the latest technology for better outcomes after root canal therapy. Request an appointment for gentle care today.
What Is Root Canal Therapy?
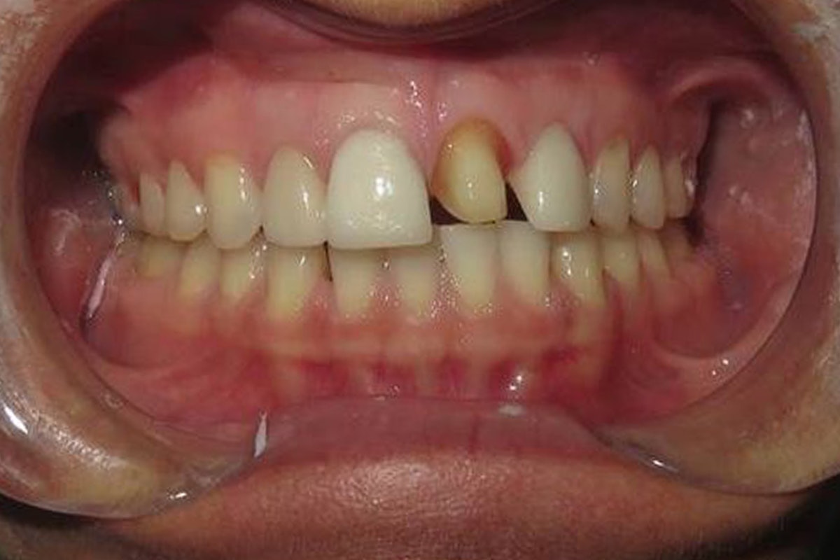
Cracks, cavities, and damage can allow bacteria to enter a tooth, which can lead to an infection within the pulp of the tooth. This infection can go on to cause a variety of symptoms, including significant pain. There is also a risk for the infection to spread. Root canal therapy, often simply referred to as a root canal, removes the infected pulp within the tooth and its roots.
Root canal treatment at our dental office in Merritt Island, FL, is virtually painless and can restore your oral health while preserving your tooth's structure.
Protect Your Smile Call Us to Schedule an Appointment
Tooth pain can make you miserable. But even minor signs of infection shouldn't be ignored. Left untreated, you risk the spread of infection and the loss of the affected tooth, or even your other teeth. This can cause other oral health issues, such as bone atrophy.
The sooner the issue is addressed, the better. Our dentists, Dr. Chan Wilkhu and Dr. Steven Schmid, combine experience, skill, state-of-the-art technology, and luxury amenities to address your symptoms comfortably and efficiently. In some cases, we can place porcelain crowns in as little as one appointment.
Don't live in pain or risk your oral health. Request an appointment by calling our dental practice in Merritt Island, FL, or by contacting us online.

Merritt Island Loves Our Dental Practice
Amazing staff and Dr Schmid the best Doctor I have been to. Would recommend this place to any family or friend.
View on GoogleIf your looking for the best then look no further, super friendly staff and the doctors are at the top of their game
View on GoogleWhy Choose Our Office For Your Root Canal Treatment?
Experienced Care
Our Merritt Island dentists have over 20 years of experience providing root canal treatment and placing custom dental crowns. They also offer a wide variety of treatments, including implant placement.
Advanced Technology
At our dental practice, we use state-of-the-art technology, including rotary instruments, an apex locator, and even CT images to achieve better patient outcomes. We can often place same-day crowns with our CEREC® in-office milling machine.
Luxury Amenities
We want our patients to be as comfortable as possible during their root canal procedure. To help you relax, we offer headphones and Netflix in every patient room at our dental office.
A Team You Can Trust For Your Root Canal Needs

Tooth pain or an abscess can be a sign of infection and should be addressed as soon as possible with treatments like root canal therapy. In some cases, you might not even have a root canal infection. Instead, you could have a cavity, which is far simpler to treat.
Worried about what will happen if your tooth cannot be saved? Even in the worst-case root canal scenario, you'll be glad you visited our team. We offer gentle tooth extraction, precise dental implant placement, and custom restorations, giving you all the care you need under one roof.
If you are experiencing pain or sudden symptoms, contact our Merritt Island dental practice. We will try to fit you in as quickly as possible to relieve the stress and discomfort stemming from your root canal troubles.
Root Canal Treatment Costs
The cost of your root canal will depend on a number of factors, such as which tooth requires treatment and how much your dental insurance covers. After your dentist develops a treatment plan, we will verify your insurance coverage to determine what your out-of-pocket costs will be.
For those without insurance or for costs not covered by your dental insurance, we accept CareCredit®. This reputable lender allows you to finance the cost of your root canal treatment, breaking it into affordable monthly payments.
Merritt Island Patients Visit Us for a Reason
I've been going through a treatment plan with Dr Schmid for several months now and I am almost done with an upper hybrid denture. Dr Schmid has been so encouraging and positive and non-judgmental of how I got to this point. His office staff is also a true reflection of him and his professionalism. From greeting me by name when I check in to Bailey and Cierra's kindness and caring and full knowledge of what they do. I'm grateful and so appreciative that they all have made this journey easier than I ever thought it could be. Thank you Dr Schmid!
View on Google
I had pretty bad dental anxiety and been a few years since I saw a dentist. It looked like I needed a good scrubbing on the teeth. They where top notch and the best.
Never thought I would be comfortable in a dental chair and someone working in my mouth. They took great care of me from calling to make an appointment to when they got done with me.
If you have anxiety, this is the place for you!
Root Canal Timeline
Together, Dr. Wilkhu and Dr. Schmid offer comprehensive care for Merritt Island patients. If you need to visit their office for a root canal consultation, the process should go something like this:
We take great care to ensure your root canal treatment will be virtually painless using local anesthetic.
Have questions about how a root canal is performed?
See How a Root Canal Is Performed
Will My New Crown Look Natural?
Earning Patient Loyalty With Dedicated Care
Dr. Schmid is the best! He’s very detailed and dedicated to his work. I live in Viera, there are a few options closer to here but I’d rather drive to Merritt Island and have Dr. Schmid because I truly trust his work.
View on GoogleI cannot say enough about the thorough and professional level of care I received from Dr. Steven Schmid and his well trained staff. Plus, the end results exceeded my expectations!
View on GoogleRoot Canal FAQs
Are all root canal infections painful?
No, they're not, but a lack of discomfort isn't a sign to avoid treatment. If you notice symptoms like bleeding, a pimple over your gums, or darkening enamel, you may need root canal therapy. Act quickly and visit our understanding Merritt Island dentists for treatment.Shouldn't I see an endodontist?
While an endodontist does specialize in root canals, the dentists at our Merritt Island, FL, dental practice are experienced in this procedure. An added benefit to seeing our dentists instead of an endodontist is that you can also have your crown placed with us. Most endodontists do not provide restorations, so you would have a longer treatment time involving multiple appointments.
Can't I just take antibiotics for an infection?
Once bacteria enters the tooth through a cavity or crack and infects the pulp, antibiotics are not enough to completely eliminate the infection. Some cases may require a round of antibiotics in conjunction with root canal therapy, but in most cases, a root canal will be necessary to remove the infection.
What about having the tooth pulled?
It is best to attempt to preserve the tooth structure whenever possible. Even a single missing tooth can cause bone deterioration in the jaw, causing other teeth to shift, and lead to more extensive dental work in the future. However, in the case that our dentists are not able to save your tooth with a root canal, we can easily replace it with a dental implant and personalized crown.



